Lymphocystis – der falsche Ichthyo – Heute kann diese Hautinfektion bei Fischen geheilt werden
Lymphocystis ist eine Hautinfektion, die durch Viren der Familie Iridoviridae hervorgerufen wird. Die infizierten Hautzellen fusionieren mit angrenzenden befallenen Hautzellen und wachsen ins Riesenhafte. Sie können eine Größe von 0,4 bis 1 Millimeter erreichen und sehen makroskopisch den Zysten, die von Ichthyphtirius gebildet werden, etwas ähnlich. Der Befall breitet sich, meist von den Flossenrändern ausgehend, auf die gesamte Oberfläche der Fische aus. Da die Hautzellen ihre Funktion nicht mehr ausüben können, stirbt der Fisch, wenn mehr als ein Drittel seiner Oberfläche befallen ist.
Häufig sind Meerwasser- und Brackwasserfische betroffen. In den letzten Jahren kommen aber immer mehr Importe mit befallenen Labyrinthfischen aus Südostasen. Häufig ist der Befall schon stark an den Flossen und auf der Körperoberfläche ausgebreitet.
Früher war die Krankheit fast immer tödlich, heute kann sie behandelt werden. Oft konnten die Fische nur gerettet werden, wenn man die befallenen Flossenränder mit einer Schere abgeschnitten hat. Sie sind dann nachgewachsen und waren nicht mehr befallen. Hatte sich die Infektion schon auf den Körper ausgebreitet, waren die Fische verloren. Da es sich um Hautzellen handelt, können Sie aber nicht ohne größere Verletzungen von der Haut entfernt werden.

Krankheiten unterscheiden
Aber auch ohne Mikroskop sind die beiden Infektionen leicht zu unterscheiden. Fängt man einen befallenen Fisch heraus und streicht mit einem Finger über die befallenen Hautstellen, platzt die Ichthyozyste. Die Zysten von Lymphocystis fühlen sich hart an, platzen nicht und lassen sich auch schwer mit dem Fingernagel abkratzen.
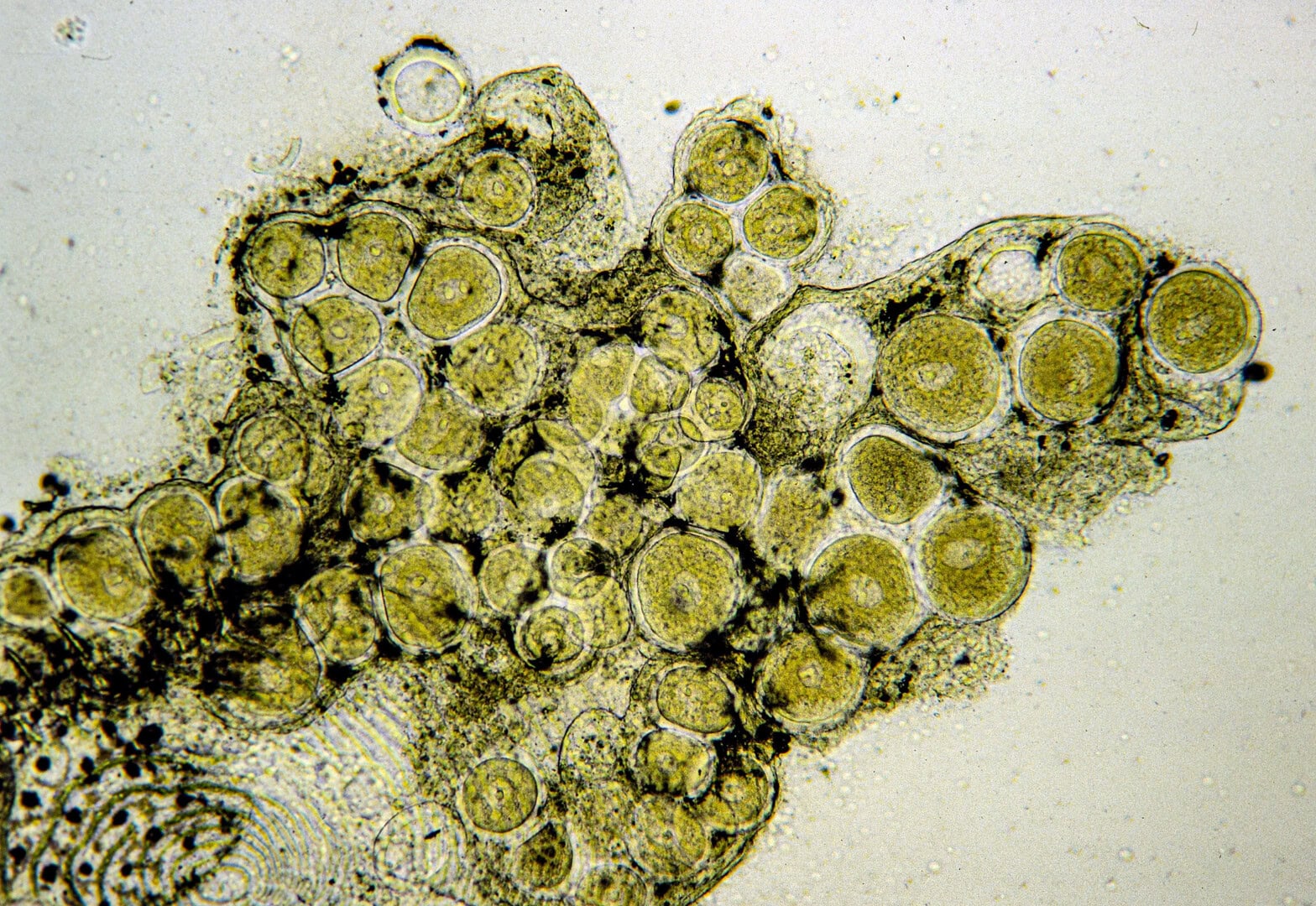
Mit einer senkrecht gestellten Skalpellklinge oder der Kante eines Deckglases lassen sich befallene Zellen für einen Abstrich gewinnen. Dieser kann auf einen Objektträger in einen Tropfen Wasser übertragen und mit dem Mikroskop bei 40-facher Vergrößerung betrachtet werden.
Betrachtet man einen Hautabstrich mit dem Mikroskop, sind die Riesenzellen von Lymphocystis leicht von Ichthyophtirius zu unterscheiden. Der für Ciliaten charakteristische Zellkern fehlt bei Lymphocstis. Auch mit Tuberkulosegranulomen sind die Zysten von Lymphocystis kaum zu verwechseln, da das mehrschichtige Bindegewebe um die Zysten fehlt. Tatsächlich sind die Zysten ins Riesenhafte vergrößerte Hautzellen, deren entartetes Plasma große Massen von Viren enthält.
Viren sind zu klein, als dass man sie mit dem Lichtmikroskop sehen könnte, Sie können nur mit Elektronenmikroskopen dargestellt werden. Viren bestehen nur aus Erbinformation und haben keinen eigenen Stoffwechsel. Sie docken mit speziellen Rezeptoren an der Zelloberfläche an und schleusen ihre Erbsubstanz in die Zelle ein. Diese programmiert die Zelle um und zwingt sie, Unmengen neuer Viren zu produzieren. Daran geht die Zelle zu Grunde. Sie platzt und entlässt Millionen von Viren in das Wasser. Diese können wieder die Hautzellen des gleichen Tiers oder anderer Fische befallen.





Labyrinthfische behandelt
Antibiotika wirken weder in der passiven Daseinsform noch im aktiven Zustand in den Zellen auf Viren. Viren können mittels Desinfektionsmitteln im Wasser bekämpft werden. Im aktiven Zustand können die Viren nur durch die Immunabwehr der Fische abgetötet werden.
Meist haben die Fische bei einer Infektion durch Lymphocystis nicht genügend Zeit, die Immunabwehr aufzubauen, da sie vorher daran sterben. Mit der hier beschriebenen Behandlungsmethode kann die Krankheit bekämpft werden. Ob die behandelten Fische danach eine Immunität entwickelt haben, ist leider noch nicht erforscht.
Die Behandlung kann mit dem von Sera entwickelten Medikament cyprinopur erfolgen. Meines Wissens gibt es kein weiteres Medikament auf dem Markt mit der gleichen Wirkstoffkombination. Die Wirkstoffe blockieren die Rezeptoren der Viren, so dass sie sich nicht an den Hautzellen andocken können. Die befallenen Hautstellen heilen, da eine Reinfektion durch erneutes Anheften der Viren verhindert wird.
Die Behandlung dauert normalerweise 15 Tage, kann aber bei Bedarf auf 25 Tage erweitert werden. Das Medikament wird von Fischen und Filterbakterien problemlos vertragen und kann nach dem beschriebenen Behandlungsschema durchgeführt werden. Es muss täglich angewendet werden, da die Wirkstoffe aus dem Wasser verdunsten und im Filter abgebaut werden.
Empfehlenswert ist, die Behandlung in einem Quarantänebecken mit eingefahrenem biologischem Filter durchzuführen. Ich lasse immer luftbetriebene Schwammfilter (Sera L-300) in meinen Aquarien mitlaufen, die ich dann bei Bedarf in ein Quarantänebecken übertragen kann.






